Featured Post

42+ Huawei Watch Gt2 Pro Classic

Gambar
The huawei watch gt 2 features an astonishing 2 week battery life, classic minimal design, sleep and heart rate monitoring, and precise gps tracking. Μοντέλο αλλαγή huawei watch gt / gt2 46mm. Watchband replacement compatible for huawei watch gt2 pro/ gt 2e/ gt/ gt2 46mm smart watch, stainless steel band accessories, adjustable length 5.0 out of 5 stars 1 1 offer from $20.24 Olcsó watchgt2proclassic okosórák, aktivitásmérők árak, akciók. Watch gt 2 pro műszaki adatok: 912510 from Checkout the full specs of the huawei watch gt 2. Huawei watch gt / gt2 46mm (470) huawei watch gt2 (42mm) (126) huawei watch gt 2e (100) huawei watch fit (71) huawei watch gt 2 pro (48) huawei band 4 pro (4) huawei watch 3 (37) huawei band 4 (7) Watch gt 2 pro műszaki adatok: This smartwatch is the perfect companion for your working out and outdoor activities. The huawei watch gt 2 features an astonishing ...

Widget HTML Produk

Get What Causes A Brain Tumor In Adults UK

Get What Causes A Brain Tumor In Adults UK. What is a brain tumor? In adults, primary brain tumors are much less common than are secondary brain tumors, in.

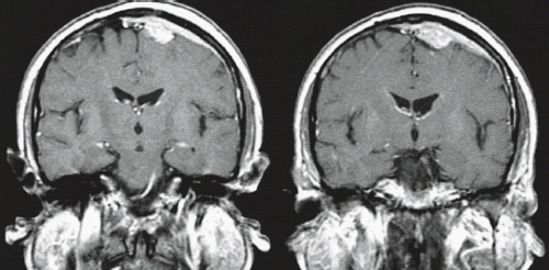
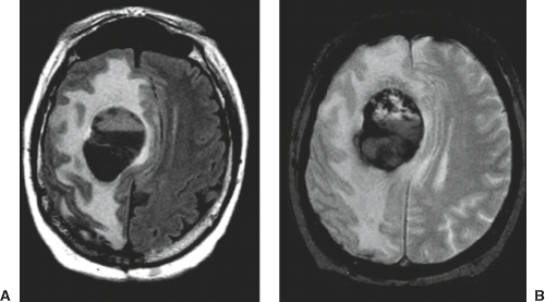
Adult Brain Tumors | Radiology Key
Adult Brain Tumors | Radiology Key from i0.wp.com
A brain tumor is a mass of abnormally growing cells in the brain or skull. Any growth inside such a restricted space can cause problems. Brain tumors are masses of abnormal cells within the brain.

Lactation, which is the secretion of breast milk, and altered menstrual periods in women, and growth in hands and feet in adults are linked with a pituitary.

What causes brain and spinal cord tumors in adults? There are two main types of tumors: What causes brain and spinal cord tumors in adults? It occurs when brain cells divide and grow in an uncontrolled way.

Komentar

Postingan populer dari blog ini

Get Environment Day Plastic Pollution Poster On Say No To Plastic Pics

42+ Huawei Watch Gt2 Pro Classic

40+ Video Cartoon Cat Pics